CABINET DENTAIRE DU DOCTEUR TRESOR BM - LINGOLSHEIM
Chirurgie dentaire ♦ Parodontologie ♦ Esthétique ♦ Implantologie
21 A rue de Molsheim, 67380 Lingolsheim
+33 3 88 77 05 22
CABINET DENTAIRE DU DOCTEUR TRESOR BM - LINGOLSHEIM
Chirurgie dentaire ♦ Parodontologie ♦ Esthétique ♦ Implantologie

L'orthodontie - Page 5

Traitement multi-attaches

Appareil herbst

Prévention : scellement de sillons chez l'enfant

Orthodontie : idées reçues, idées revues

L'orthodontie : une affaire de spécialistes

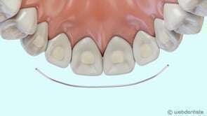
Fil de contention

Affichage des articles 25-30 sur 44

Création par Webdentiste

Connexion